10 кошмарных медицинских случаев
Порой реальные медицинские истории могут быть страшнее ужастиков и интереснее самых изощренных детективов. Мы собрали десять самых необычных, произошедших за последние два года.
Как (почти) выкашлять легкое

В 2018 году в больницу Медицинской школы Калифорнийского университета попалпациент с сердечной недостаточностью. У 36-летнего мужчины уже стоял эндопротез аорты, который поддерживал стенки сосуда. Чтобы облегчить состояние и избежать дальнейшего развития острой сердечной недостаточности врачи имплантировали ему еще и специальный аппарат, напоминающий насос, который усиливает кровоток. Недостаток прибора в том, что он способствует образованию сгустков крови, которые потенциально могут вызвать тромбы, поэтому мужчине прописали антикоагулянт гепарин. Еще находясь в больнице, он начал захлебываться кашлем до тех пор, пока не выплюнул нечто, напоминающее часть легкого, а вернее — бронхиальное дерево.
То, что с ним произошло, обычно называют пластическим бронхитом. Это заболевание протекает на фоне сердечной или легочной патологии и выражается заполнением легочных путей сгустками различных жидкостей. В данном случае бронхиолы пациента заливала кровь, проникавшая туда через поврежденные сосуды. Уже через неделю после начала лечения он начал харкать кровью, а затем выкашлял целый слепок правого бронха. В среднем при пластическом бронхите выживает 50 процентов пациентов. Этот мужчина скончался через семь дней после того, как откашлял слепок. Врачи предположили, что причиной такого сгущения крови в легком послужила большая концентрация бесцветного белка фибриногена, который ведет себя подобно клею.
Червяк, поселившийся в лице

Этот случай произошел в России. Женщина 32-х лет заметила под левым глазом необычную припухлость. Она ее сфотографировала, но через пять дней увидела, что бугорок мигрировал в веко. На этом странные события не закончились: через десять дней он загадочным образом переместился в верхнюю губу, после чего та распухла. Как будто нечто живое росло и ползало у нее под лицом. При этом никаких неприятных ощущений, кроме зуда и периодического жжения, женщина не испытывала. Она обратилась к врачу, который определил «движущийся продолговатый узелок» как червя-паразита Dirofilaria repens. Чтобы извлечь его из-под кожи, пришлось провести хирургическую операцию.
Обычно эти нематоды заражают млекопитающих среднего размера: кошек, собак или лисиц. Они попадают к ним под кожу и там готовятся к размножению. Человек для них – нежелательный носитель, так как под нашей кожей они обычно не могут плодиться. Чаще всего они попадают через укусы комаров, которые переносят паразитов от домашних животных. Позже пациентка вспомнила, что накануне первых симптомов ездила отдыхать на природу. По словам доктора Владимира Карташева, который лечил ее, количество случаев в год на территории России и Белоруссии увеличилось с восьми в 1997-ом до двухсот в 2012-ом, и продолжает расти.
Сюрприз от «Каролинского жнеца»

34-летний мужчина участвовал в конкурсе поедания острых перцев, а если точнее — «Каролинских жнецов», считающихся самыми острыми перцами в мире. Сразу после соревнования он почувствовал, как что-то рвется изнутри – его сотрясали тошнотворные позывы, но рвота не выходила. Затем появилась боль в шее, которая распространилась на затылок. Несмотря на симптомы он никак не ожидал, что его голова начнет раскалываться с такой силой, будто в нее бьет молния. Приступы каждый раз настигали его случайно и длились около минуты. Боль разрывала череп настолько свирепо, что он вызвал скорую помощь. Врачи измерили кровяное давление – 134 на 69. Они не обнаружили никаких аномалий в моче или на неконтрастной компьютерной томографии (КТ). КТ-ангиография не выявила аневризм, но показала сужение левой внутренней сонной артерии. Специалисты поставили диагноз: синдром обратимой церебральной вазоконстрикции (СОЦВ).
Эту болезнь также называют громоподобной головной болью с церебральным вазоспазмом. Она возникает из-за преходящих нарушений в кровеносных сосудах, снабжающих головной мозг питательными веществами. Из-за сужения артерий и наступают приступы адской головной боли. Врачи знали о том, что ее триггером могут быть перепады температур: горячая сауна или холодный душ, но связь с острым перцем зафиксировали впервые в прошлом году.
Имплант-путешественник
Процесс вживления импланта
Для женщин, которые по какой-то причине не хотят постоянно принимать противозачаточные таблетки, существуют импланты, решающие эту проблему. Implanon NXT – один из них. Размером со спичечную головку, он помещается в руку и действует до пяти лет. На протяжении этого периода он выпускает синтетический гормон — прогестин, который сгущает цервикальную слизь, заполняющую канал шейки матки, и тем самым препятствует прохождению сперматозоидов.
31-летняя женщина из Португалии ставила себе такой имплант уже два раза, но на третий что-то пошло не так. Гинеколог во время осмотра не смог нащупать его в бицепсе. Пришлось использовать ультразвук, чтобы отыскать его. Оказалось, что он мигрировал в левое легкое.
Несмотря на то, что подобное случается довольно редко, клиницисты периодически слышат о похожих ситуациях. Врачи предполагают, что все дело в слишком глубоком проникновении иглы аппарата. Имплант попадает в вену и начинает свое путешествие по телу, которое в итоге оканчивается в легком. В данном случае женщине пришлось делать операцию на груди, чтобы удалить имплант. Она перенесла ее без осложнений и выписалась через четыре дня.
Кошмарное пробуждение
Супруги Мари и Мэтью только вернулись из отпуска, который счастливо провели на Карибских островах, как вдруг Мари заболела. Она жаловалась на тошноту и невыносимую боль в спине. Ее муж и дети подумали, что это инфекция и не придали симптомам особого значения. В один из последующих дней Мари, уставшая из-за болезни, прилегла на диван, а когда проснулась, обнаружила, что у нее больше нет ни рук, ни ног – их ампутировали.
Родственники заметили, что женщина не приходила в сознание — и при этом у нее повышалась температура. Они отвезли ее в больницу. Врачи начали агрессивное лечение антибиотиками, но состояние пациентки только ухудшалось. Всего через пару дней ее ввели в искусственную кому, так как на концах конечностей стремительно развивался некроз тканей. Анализ крови в итоге показал заражение бактерией типа капноцитофаги. Обычно эти микроорганизмы живут в телах кошек и собак, не причиняя им вреда, но для человека они могут оказаться крайне опасными в случае сниженного иммунитета. Дочери предположили, что один из домашних питомцев полизал расцарапанную руку Мари, из-за чего бактерии попали в кровоток женщины. К сожалению, к моменту постановки диагноза ее организм выработал слишком большое количество сгустков крови, которые блокировали сосуды, и гангрены пришлось удалить.
Анафилактический шок после минета

Недавно в Испании произошел курьезный случай. В Университетскую больницу в Аликанте вбежал испуганный мужчина — он вел за собой женщину, один вид которой вызывал сочувствие. Она задыхалась, изо рта обильно текла рвота, а все тело покрывала сыпь. Врачи немедленно диагностировали аллергическую реакцию, но установить ее причину им удалось с трудом.
Подсказка была лишь одна – симптомы начались сразу после «оральной эякуляции». Науке известны случаи аллергии на семенную жидкость, но они всегда протекают локально – там, куда попала сперма, и не распространяются на весь организм. Более того, пациентка никогда не испытывала подобных реакций с другим партнёрами. Здесь что-то было не так, пазл не складывался. Может быть, дело не в семени, а в чем-то другом? В еде или медикаментах, которые она перед этим принимала? Нет, но их принимал ее партнер. За четыре часа до момента Х он проглотил антибиотик под названием «Аугментин», который содержит амоксициллин – тип пенициллина, применяющийся против инфекций. К несчастью, 31-летняя женщина оказалась одной из тех, кто обладает аллергией на пенициллин, из-за чего и произошёл анафилактический шок.
Муха во лбу
В прошлом году 55-летняя жительница Великобритании путешествовала по тропическим лесам Уганды. По ходу трипа она заметила маленькое вздутие на лбу – такие появляются после укуса комара. Местные врачи выписали ей антибиотики и отправили домой, заверив, что все будет хорошо, но дальше стало только хуже.
Возвратившись домой, она увидела, что шишка увеличилась в размере. Перепугавшись, она обратилась к доктору, который довольно точно определил, что у нее под кожей поселилась личинка тропической мухи Cordylobia rodhaini. Та вылупляется из яйца примерно через три дня после «заселения». Затем она проникает в самый тонкий слой кожи, закрепляется там при помощи специальных крючочков, проделывает дырку для дыхания и начинает расти. Ее постепенное увеличение в размерах, которое занимает около недели перед созреванием, сопровождается болью.

Извлеченная личинка
Выслушав рассказ пациентки, врачи решили, что она заразилась через мокрое полотенце, которые сушилось под открытым небом. Они смазали бугорок вазелином, чтобы лишить личинку воздуха. Та была вынуждена подняться ближе к поверхности, после чего специалисты провели операцию по извлечению, минимизировав риск разрыва личинки. В ином случае ее раздавленное тело могло вызвать воспаление.
Ложка — есть

Некий гражданин Китая по имени Мистер Чжан, как говорится в медицинском отчете, осенью 2017 года на спор проглотил ложку длиной 20 сантиметров. Она застряла у него в верхнем отделе пищевода, но серьезного дискомфорта, по-видимому, не доставляла, так как в больницу мужчина не обратился. Шли месяцы, ложка оставалась глубоко в глотке Мистера Чжана, а он жил своей жизнью до тех пор, пока через год после памятного события его не ударили в грудь. Тогда он ощутил нестерпимую боль и немедленно помчался к доктору.

Извлеченная ложка
Отоларинголог запустил в пищевод пациенту эндоскоп и крайне удивился, когда увидел на мониторе поблёскивание знакомого металлического предмета, сплошь покрытого слизью. Ложку немедленно достали щипцами, и лишившийся ее Мистер Чжан тут же пошел на поправку.
Линза-долгожительница

В прошлом году 42-летняя британка обратилась к врачу с необычной жалобой. На ее правом веке вздулся бугорок, который почти закрывал глаз. Женщина полгода старалась не обращать на него внимания, но тот увеличился до таких размеров, что дольше игнорировать было невозможно. Доктор осмотрел ее и не нашел никаких признаков травмы. Он провел МРТ-сканирование и заметил небольшое образование над глазом, всего шесть миллиметров. Пациентке сообщили, что придется идти на операцию, чтобы понять природу странного комка. Она согласилась.
Когда припухлость надрезали, внутри обнаружили жесткую линзу. Для ее удаления потребовалось все мастерство хирургов, так как та оказалась очень хрупкой, и одно неверное движение могло расколоть ее на множество маленьких осколков, которые пришлось бы искать и извлекать по отдельности, но все закончилось благополучно.
Узнав о результатах операции, женщина очень удивилась: она давно отказалась от линз и не знает, как та могла попасть ей в глаз. Загадку разрешила мать пациентки, которая вспомнила случай из дества, произошедший 28 лет назад. Ее 14-летняя дочь тогда играла в бадминтон. Волан угодил девочке в глаз, и линза пропала. Родители решили, что та выпала, но она, видимо, сместилась и застряла в веке — на 28 лет.
Залетные пчелы
Жительница Тайвая 29 лет ухаживала за могилой родственников, когда налетел сильный ветер, и что-то попало ей в глаз. Она попыталась это вытащить, но не смогла. Боясь повредить контактную линзу, она не стала растирать глаз, хотя чувствовала неприятные покалывания внутри. К вечеру нижнее веко опухло, и она сразу же обратилась в больницу при Университете Фуин.

Офтальмолог поразился своему открытию. Сперва он увидел нечто, напоминающее ножку насекомого. Осторожно за нее потянув, он вытащил пчелу. Затем то же самое врач проделал с тремя остальными, каждая из которых достигала в длину около четырех миллиметров. По его мнению, пчелы, попав в глаз, не смогли выбраться наружу. Их привлек слезный белок, и они начали его поедать. Если бы не контактная линза, которая остановила девушку от растираний, ситуация могла стать критической: еще немного и пришлось бы удалять глазное яблоко, чтобы спасти жизнь пациентки.
Как (почти) выкашлять легкое

В 2018 году в больницу Медицинской школы Калифорнийского университета попалпациент с сердечной недостаточностью. У 36-летнего мужчины уже стоял эндопротез аорты, который поддерживал стенки сосуда. Чтобы облегчить состояние и избежать дальнейшего развития острой сердечной недостаточности врачи имплантировали ему еще и специальный аппарат, напоминающий насос, который усиливает кровоток. Недостаток прибора в том, что он способствует образованию сгустков крови, которые потенциально могут вызвать тромбы, поэтому мужчине прописали антикоагулянт гепарин. Еще находясь в больнице, он начал захлебываться кашлем до тех пор, пока не выплюнул нечто, напоминающее часть легкого, а вернее — бронхиальное дерево.
То, что с ним произошло, обычно называют пластическим бронхитом. Это заболевание протекает на фоне сердечной или легочной патологии и выражается заполнением легочных путей сгустками различных жидкостей. В данном случае бронхиолы пациента заливала кровь, проникавшая туда через поврежденные сосуды. Уже через неделю после начала лечения он начал харкать кровью, а затем выкашлял целый слепок правого бронха. В среднем при пластическом бронхите выживает 50 процентов пациентов. Этот мужчина скончался через семь дней после того, как откашлял слепок. Врачи предположили, что причиной такого сгущения крови в легком послужила большая концентрация бесцветного белка фибриногена, который ведет себя подобно клею.
Червяк, поселившийся в лице

Этот случай произошел в России. Женщина 32-х лет заметила под левым глазом необычную припухлость. Она ее сфотографировала, но через пять дней увидела, что бугорок мигрировал в веко. На этом странные события не закончились: через десять дней он загадочным образом переместился в верхнюю губу, после чего та распухла. Как будто нечто живое росло и ползало у нее под лицом. При этом никаких неприятных ощущений, кроме зуда и периодического жжения, женщина не испытывала. Она обратилась к врачу, который определил «движущийся продолговатый узелок» как червя-паразита Dirofilaria repens. Чтобы извлечь его из-под кожи, пришлось провести хирургическую операцию.
Обычно эти нематоды заражают млекопитающих среднего размера: кошек, собак или лисиц. Они попадают к ним под кожу и там готовятся к размножению. Человек для них – нежелательный носитель, так как под нашей кожей они обычно не могут плодиться. Чаще всего они попадают через укусы комаров, которые переносят паразитов от домашних животных. Позже пациентка вспомнила, что накануне первых симптомов ездила отдыхать на природу. По словам доктора Владимира Карташева, который лечил ее, количество случаев в год на территории России и Белоруссии увеличилось с восьми в 1997-ом до двухсот в 2012-ом, и продолжает расти.
Сюрприз от «Каролинского жнеца»

34-летний мужчина участвовал в конкурсе поедания острых перцев, а если точнее — «Каролинских жнецов», считающихся самыми острыми перцами в мире. Сразу после соревнования он почувствовал, как что-то рвется изнутри – его сотрясали тошнотворные позывы, но рвота не выходила. Затем появилась боль в шее, которая распространилась на затылок. Несмотря на симптомы он никак не ожидал, что его голова начнет раскалываться с такой силой, будто в нее бьет молния. Приступы каждый раз настигали его случайно и длились около минуты. Боль разрывала череп настолько свирепо, что он вызвал скорую помощь. Врачи измерили кровяное давление – 134 на 69. Они не обнаружили никаких аномалий в моче или на неконтрастной компьютерной томографии (КТ). КТ-ангиография не выявила аневризм, но показала сужение левой внутренней сонной артерии. Специалисты поставили диагноз: синдром обратимой церебральной вазоконстрикции (СОЦВ).
Эту болезнь также называют громоподобной головной болью с церебральным вазоспазмом. Она возникает из-за преходящих нарушений в кровеносных сосудах, снабжающих головной мозг питательными веществами. Из-за сужения артерий и наступают приступы адской головной боли. Врачи знали о том, что ее триггером могут быть перепады температур: горячая сауна или холодный душ, но связь с острым перцем зафиксировали впервые в прошлом году.
Имплант-путешественник
Процесс вживления импланта
Для женщин, которые по какой-то причине не хотят постоянно принимать противозачаточные таблетки, существуют импланты, решающие эту проблему. Implanon NXT – один из них. Размером со спичечную головку, он помещается в руку и действует до пяти лет. На протяжении этого периода он выпускает синтетический гормон — прогестин, который сгущает цервикальную слизь, заполняющую канал шейки матки, и тем самым препятствует прохождению сперматозоидов.
31-летняя женщина из Португалии ставила себе такой имплант уже два раза, но на третий что-то пошло не так. Гинеколог во время осмотра не смог нащупать его в бицепсе. Пришлось использовать ультразвук, чтобы отыскать его. Оказалось, что он мигрировал в левое легкое.
Несмотря на то, что подобное случается довольно редко, клиницисты периодически слышат о похожих ситуациях. Врачи предполагают, что все дело в слишком глубоком проникновении иглы аппарата. Имплант попадает в вену и начинает свое путешествие по телу, которое в итоге оканчивается в легком. В данном случае женщине пришлось делать операцию на груди, чтобы удалить имплант. Она перенесла ее без осложнений и выписалась через четыре дня.
Кошмарное пробуждение
Супруги Мари и Мэтью только вернулись из отпуска, который счастливо провели на Карибских островах, как вдруг Мари заболела. Она жаловалась на тошноту и невыносимую боль в спине. Ее муж и дети подумали, что это инфекция и не придали симптомам особого значения. В один из последующих дней Мари, уставшая из-за болезни, прилегла на диван, а когда проснулась, обнаружила, что у нее больше нет ни рук, ни ног – их ампутировали.
Родственники заметили, что женщина не приходила в сознание — и при этом у нее повышалась температура. Они отвезли ее в больницу. Врачи начали агрессивное лечение антибиотиками, но состояние пациентки только ухудшалось. Всего через пару дней ее ввели в искусственную кому, так как на концах конечностей стремительно развивался некроз тканей. Анализ крови в итоге показал заражение бактерией типа капноцитофаги. Обычно эти микроорганизмы живут в телах кошек и собак, не причиняя им вреда, но для человека они могут оказаться крайне опасными в случае сниженного иммунитета. Дочери предположили, что один из домашних питомцев полизал расцарапанную руку Мари, из-за чего бактерии попали в кровоток женщины. К сожалению, к моменту постановки диагноза ее организм выработал слишком большое количество сгустков крови, которые блокировали сосуды, и гангрены пришлось удалить.
Анафилактический шок после минета

Недавно в Испании произошел курьезный случай. В Университетскую больницу в Аликанте вбежал испуганный мужчина — он вел за собой женщину, один вид которой вызывал сочувствие. Она задыхалась, изо рта обильно текла рвота, а все тело покрывала сыпь. Врачи немедленно диагностировали аллергическую реакцию, но установить ее причину им удалось с трудом.
Подсказка была лишь одна – симптомы начались сразу после «оральной эякуляции». Науке известны случаи аллергии на семенную жидкость, но они всегда протекают локально – там, куда попала сперма, и не распространяются на весь организм. Более того, пациентка никогда не испытывала подобных реакций с другим партнёрами. Здесь что-то было не так, пазл не складывался. Может быть, дело не в семени, а в чем-то другом? В еде или медикаментах, которые она перед этим принимала? Нет, но их принимал ее партнер. За четыре часа до момента Х он проглотил антибиотик под названием «Аугментин», который содержит амоксициллин – тип пенициллина, применяющийся против инфекций. К несчастью, 31-летняя женщина оказалась одной из тех, кто обладает аллергией на пенициллин, из-за чего и произошёл анафилактический шок.
Муха во лбу
В прошлом году 55-летняя жительница Великобритании путешествовала по тропическим лесам Уганды. По ходу трипа она заметила маленькое вздутие на лбу – такие появляются после укуса комара. Местные врачи выписали ей антибиотики и отправили домой, заверив, что все будет хорошо, но дальше стало только хуже.
Возвратившись домой, она увидела, что шишка увеличилась в размере. Перепугавшись, она обратилась к доктору, который довольно точно определил, что у нее под кожей поселилась личинка тропической мухи Cordylobia rodhaini. Та вылупляется из яйца примерно через три дня после «заселения». Затем она проникает в самый тонкий слой кожи, закрепляется там при помощи специальных крючочков, проделывает дырку для дыхания и начинает расти. Ее постепенное увеличение в размерах, которое занимает около недели перед созреванием, сопровождается болью.

Извлеченная личинка
Выслушав рассказ пациентки, врачи решили, что она заразилась через мокрое полотенце, которые сушилось под открытым небом. Они смазали бугорок вазелином, чтобы лишить личинку воздуха. Та была вынуждена подняться ближе к поверхности, после чего специалисты провели операцию по извлечению, минимизировав риск разрыва личинки. В ином случае ее раздавленное тело могло вызвать воспаление.
Ложка — есть

Некий гражданин Китая по имени Мистер Чжан, как говорится в медицинском отчете, осенью 2017 года на спор проглотил ложку длиной 20 сантиметров. Она застряла у него в верхнем отделе пищевода, но серьезного дискомфорта, по-видимому, не доставляла, так как в больницу мужчина не обратился. Шли месяцы, ложка оставалась глубоко в глотке Мистера Чжана, а он жил своей жизнью до тех пор, пока через год после памятного события его не ударили в грудь. Тогда он ощутил нестерпимую боль и немедленно помчался к доктору.

Извлеченная ложка
Отоларинголог запустил в пищевод пациенту эндоскоп и крайне удивился, когда увидел на мониторе поблёскивание знакомого металлического предмета, сплошь покрытого слизью. Ложку немедленно достали щипцами, и лишившийся ее Мистер Чжан тут же пошел на поправку.
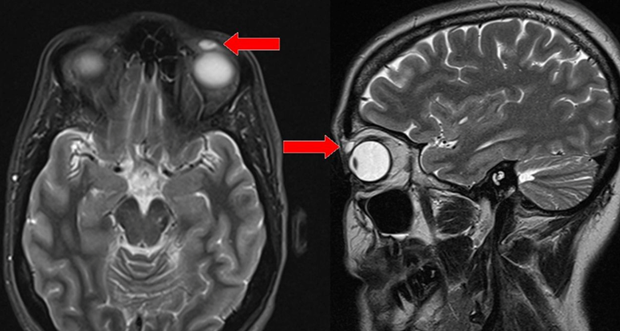
Линза-долгожительница

В прошлом году 42-летняя британка обратилась к врачу с необычной жалобой. На ее правом веке вздулся бугорок, который почти закрывал глаз. Женщина полгода старалась не обращать на него внимания, но тот увеличился до таких размеров, что дольше игнорировать было невозможно. Доктор осмотрел ее и не нашел никаких признаков травмы. Он провел МРТ-сканирование и заметил небольшое образование над глазом, всего шесть миллиметров. Пациентке сообщили, что придется идти на операцию, чтобы понять природу странного комка. Она согласилась.
Когда припухлость надрезали, внутри обнаружили жесткую линзу. Для ее удаления потребовалось все мастерство хирургов, так как та оказалась очень хрупкой, и одно неверное движение могло расколоть ее на множество маленьких осколков, которые пришлось бы искать и извлекать по отдельности, но все закончилось благополучно.
Узнав о результатах операции, женщина очень удивилась: она давно отказалась от линз и не знает, как та могла попасть ей в глаз. Загадку разрешила мать пациентки, которая вспомнила случай из дества, произошедший 28 лет назад. Ее 14-летняя дочь тогда играла в бадминтон. Волан угодил девочке в глаз, и линза пропала. Родители решили, что та выпала, но она, видимо, сместилась и застряла в веке — на 28 лет.
Залетные пчелы
Жительница Тайвая 29 лет ухаживала за могилой родственников, когда налетел сильный ветер, и что-то попало ей в глаз. Она попыталась это вытащить, но не смогла. Боясь повредить контактную линзу, она не стала растирать глаз, хотя чувствовала неприятные покалывания внутри. К вечеру нижнее веко опухло, и она сразу же обратилась в больницу при Университете Фуин.

Офтальмолог поразился своему открытию. Сперва он увидел нечто, напоминающее ножку насекомого. Осторожно за нее потянув, он вытащил пчелу. Затем то же самое врач проделал с тремя остальными, каждая из которых достигала в длину около четырех миллиметров. По его мнению, пчелы, попав в глаз, не смогли выбраться наружу. Их привлек слезный белок, и они начали его поедать. Если бы не контактная линза, которая остановила девушку от растираний, ситуация могла стать критической: еще немного и пришлось бы удалять глазное яблоко, чтобы спасти жизнь пациентки.




